
The Skinny
Average Recovery
0 days
Permanence
Permanent
Application
Temporary Wearable Device
Surgical
No
Cost
$3500 - $8000
AEDIT
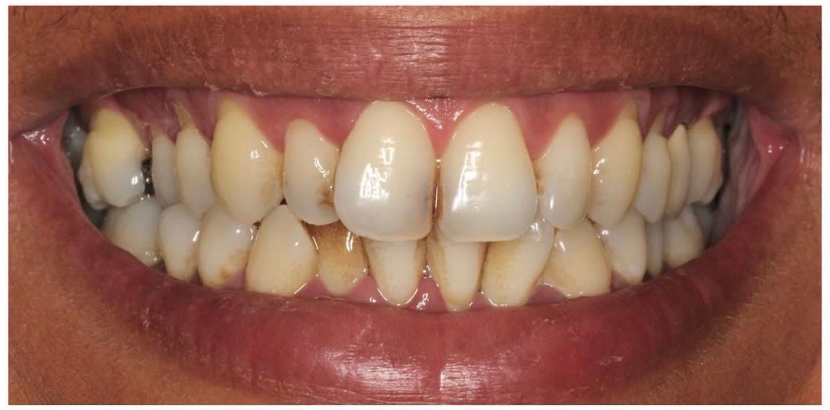
Before & After Images by Provider






Before & After Images by Provider
Invisalign®
The Specifics
What is Invisalign®?
Invisalign® (a.k.a. clear braces) are an orthodontic clear plastic aligner solution to straighten, align, and reposition teeth. Invisalign treatments are one of the most widely known clear aligner systems. Invisalign® is managed by an orthodontist.
The Anatomy of the Oral Cavity

Invisalign® gradually shifts teeth into the desired position through progressive alterations to pre-made custom fitted clear plastic trays that do not require metal brackets. Invisalign is typically worn for 10 to 15 months.
What cosmetic concerns does Invisalign® treat?
Who is the ideal candidate for Invisalign®?
The ideal candidate for Invisalign® has good overall oral health with mildly crooked teeth, protruding teeth, malocclusion, mild overbites or underbites, open bites, crossbites, overjets, gaps in the teeth, and overcrowding of teeth. Invisalign® is not recommended for children who are still growing, or those with severe orthodontic issues who require jaw repositioning.
What is the average recovery associated with Invisalign®?
There is no specific recovery time associated with the Invisalign® system. Individuals may experience mild irritation and discomfort when starting the aligners, and with a tray change, however, these side effects are temporary.
The Anatomy of the Tooth

What are the potential side effects of Invisalign®?
Possible side effects of Invisalign® includes difficulty with clear and regular speech, increased saliva production, bad breath (halitosis), and dry mouth.
What can someone expect from the results of Invisalign®?
The results of Invisalign® will evolve with progressive tray (new aligner) changes every two weeks over three months to two years. Most treatments last an average of 10 to 15 months. A retainer (mouth guard) is made after treatment the end results are obtained to limit tooth movement.
What is the average cost of Invisalign®?
Invisalign® can cost anywhere from $3,500 to $8,000. The actual cost of Invisalign® is dependent upon location, healthcare provider, and length and involvement of the cosmetic procedure.
Pros
- Removable
- No Food Restrictions
- Good Oral Hygiene
- Transparency
- Discreet
- For Adults
Cons
- More Costly
- Hassle
- Lose Aligners
- Misplace Aligners
- Patient Compliance
- Not For All Orthodontic Issues
Invasiveness Score
Invasiveness is graded based on factors such as anesthesia practices, incisions, and recovery notes common to this procedure.
What to Expect
Invisalign uses a series custom of clear trays to reposition teeth for a straighter smile. Here is a quick guide for what to expect before, during, and after Invisalign treatment.
The Takeaway
Invisalign® is one of the best known clear braces systems and offers a discreet, effective teeth alignment and straightening solution for a beautiful smile and straighter teeth without traditional metal braces.



