Alina Lane, DDS Before & After Pictures

Alina Lane, DDS has a total of 15 before and after photos available.

Filters
Showing 15 results

Filter Photos

Procedures
Areas
Candidate Gender
Candidate Age
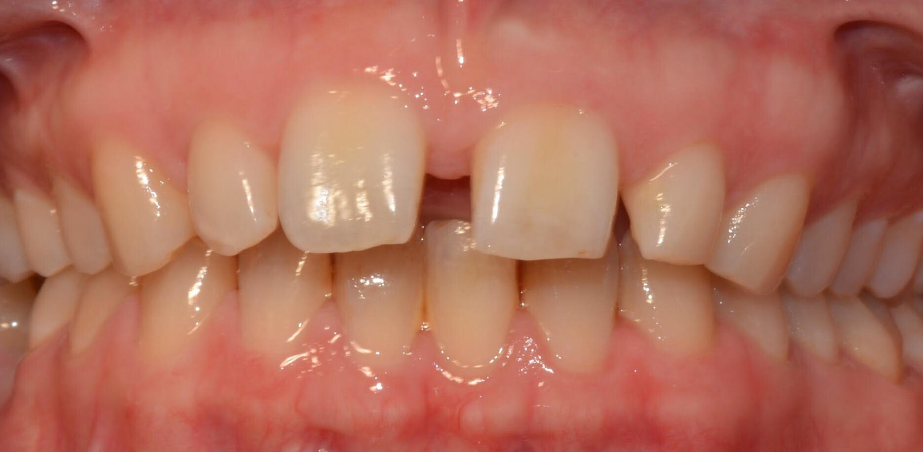
Teeth & Bite Alignment Solutions Before, Female 39 - 3905beforeTeeth & Bite Alignment Solutions After, Female 39 - 3905after
Case 2, 39 Teeth & Bite Alignment Solutions Immediately afterJaw, Gums, Teeth
Dental Crowns Before, Female 43 - 3904beforeDental Crowns After, Female 43 - 3904after
Case 2, 43 Dental Crowns Immediately afterTeeth
Dental Crowns Before, Female 40 - 3903beforeDental Crowns After, Female 40 - 3903after
Case 1, 40 Dental Crowns Immediately afterTeeth
Dental Bonding Before, Female 32 - 320beforeDental Bonding After, Female 32 - 320after
Case 1, 32 Dental Bonding 2 weeks afterTeeth
Dental Treatments Before, Female 56 - 3902beforeDental Treatments After, Female 56 - 3902after
Case 1, 56 Dental Treatments Immediately afterTeeth, Gums
Dental Veneers Before, Male 43 - 3901beforeDental Veneers After, Male 43 - 3901after
Case 4 (Front), 43 Dental Veneers Immediately afterTeeth
Invisalign® Before, Female 28 - 3900beforeInvisalign® After, Female 28 - 3900after
Case 1, 28 Invisalign® Immediately afterTeeth
Dental Veneers Before, Female 38 - 13beforeDental Veneers After, Female 38 - 13after
Case 3 (Front View 2), 38 Dental Veneers Immediately afterTeeth
Dental Veneers Before, Female 38 - 12beforeDental Veneers After, Female 38 - 12after
Case 3, 38 Dental Veneers Immediately afterTeeth
Dental Veneers Before, Female 34 - 11beforeDental Veneers After, Female 34 - 11after
Case 2 (Right Angle), 34 Dental Veneers Immediately afterTeeth
Dental Veneers Before, Female 34 - 10beforeDental Veneers After, Female 34 - 10after
Case 2 (Front), 34 Dental Veneers Immediately afterTeeth
Dental Veneers Before, Female 29 - 9beforeDental Veneers After, Female 29 - 9after
Case 1 (Front), 29 Dental Veneers Immediately afterTeeth